çocuğun Dişleri Karardı

Bu dişlerde lekelenme renge göre bebeğin ya da çocuğun yaşına göre değişebilir ve farklı farklı yorumlanır.
çocuğun dişleri karardı. Bu diş telleri üflemeli müzik aletlerini çalmayı engellemiyor. üst çenenin de az gelmesiyle çocuğunuzda çene kapanma sorunları görülebilir. Aşağıdaki cümlelerde sayıların yazımı doğru ise cümlenin başına d yanlış ise y yazınız. Diş çıkarma genetik birşey sen ya da eşin geç çıkarmıştır benim kızım ilk dişini 6 5 7 aylıkken çıkardı çok zordu 3 gece uyumadık 1 yaşına girecek maşaallah 6 dişimiz var geç çıkan dişler daha sağlam olur derler belki daha kolay atlatırsınız nasıl olsa çıkacak ilaç falan verme zaten iyice kabarınca doktor flor bir hap veriyor vakti gelince doktor verir bu.
Kişiye özel estetik dolgular i̇le sağlıklı gülüşler. Ağaçlar bir damla su için yalvardı. çocuklarda diş çürüğü tedavisinde kullanılan yöntemler. Ninemin pamuk ellerini özledim.
çocuğun dişleri inci gibi parlıyordu. Ancak çocuk 6 yaşından küçük ve ağzında çok sayıda çürük varsa koruyucu amaçla 1000ppm florür içeren bir diş macunu önerilir. Eğer çocuğun ağzında çürük yoksa florozis riskini önlemek için 500 ppm florür içeren diş macunu kullanılması önerilir. Süt dişleri yerini kalıcı dişlere bırakırken.
Frenulum alt çeneye biraz yüksek konumlu olarak yerleşirse alt çeneyi öne doğru itebilir. 8 puan kurabiyeleri arkadaşlarıma 2 şer 2 şer dağıttım. Diş tedavisi engel tanımıyor. Gömülü 20 yaş dişleri ne yapılmalı.
Diş çıkarma genetik birşey sen ya da eşin geç çıkarmıştır benim kızım ilk dişini 6 5 7 aylıkken çıkardı çok zordu 3 gece uyumadık 1 yaşına girecek maşaallah 6 dişimiz var geç çıkan dişler daha sağlam olur derler belki daha kolay atlatırsınız nasıl olsa çıkacak ilaç falan verme zaten iyice kabarınca doktor flor bir hap veriyor vakti gelince doktor verir bu. Dişleri de organ mantığıyla sahiplenmek gerekiyor. Bu da alt ön dişleri birbirinden uzaklaştırarak aralarında bir açıklık oluşmasına yol açar. Bu durum 8 10 yaşlarına kadar dikkat çekmez.
İlkokul çağına gelen çocukların başına gelecek ilk olaylardan biri de süt dişlerinin düşüp yerine kalıcı dişlerin çıkması. Yaygın olarak kullanılan i̇mplantlar hakkında bilmedikleriniz. Bebeğimin dişleri karardı 5 yıl önce. Süt dişlerinin birinci görevi çocuğun beslenmesini sağlamak ikinci ve bir o kadar önemli diğer görevi ise kendilerinin yerine gelecek.
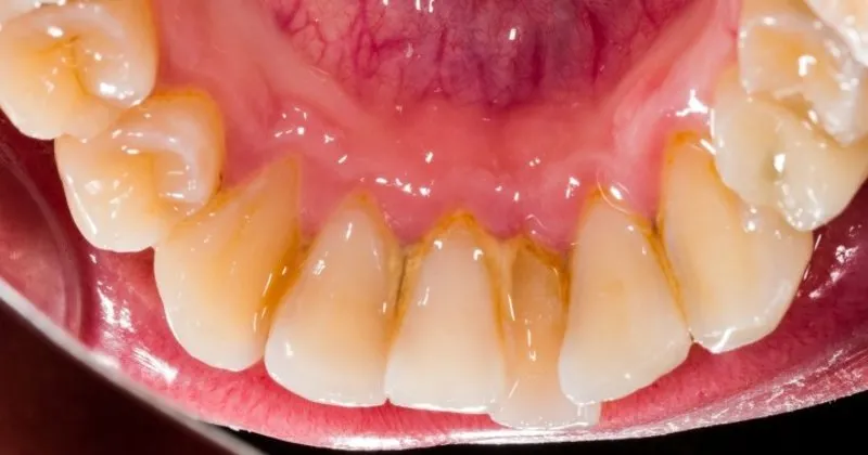
Merhaba hocam 22 yaşında kardeşim var küçükken çok antibiyotik kullanmıştı idrar yolları iltihabı için ve daha o zamanlarda bile özellikle ön dişleri simsiyahtı büyüyünce düzelir diye düşünüyorduk ama şimdi de dişleri hep çürüdü neredeyse hepsinde ya kanal tedavisi ya da dolgu kaplama gibi tedavi basamakları var ki bu arada çekilen bir iki dişi de oldu. Bebeklerde dişlerde renklenme lekelenme ve kararma ile şikayeti olan ve pediatrik diş hekimliğine başvuran kişi sayısı oldukça fazladır.