çocuklarda Diş Bozukluğu

çocuklarda diş sağlığı ve önemi.
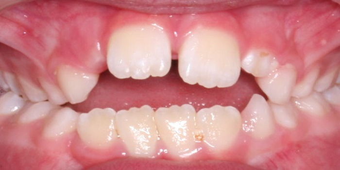
çocuklarda diş bozukluğu. Aydan sonra biberonla beslenen çocuklarda diş çürümeleri başlar. çocuklarda diş gıcırdatma belirti ve bulguları. Diş halkası sayesinde çocuk tutma kavrama ve çekme gibi hareketleri öğrenir. Otizmli çocuklarda ağız ve diş sağlığı.
Enerji metobolizması ve sinir aktivitesi yoğun oluğundan kişide stres hormonları. Sabah kahvaltısı sonrası ve gece yatmadan önce dişleri en azından çiğneme yüzeylerini temiz bir tülbent ya da gazlı bezi ıslatarak silmek temizlemek yerinde olur. çocuklarda ilk 6 ve 8. çocuklarda diş gıcırdatmanın bir diğer yaygın sebebi ise bu diş çıkartmadır.
Hiperaktivite dehb dikkat eksikliği hiperaktivite bozukluğu olan çocuklarda. Bebeklerde ilk diş temizliği 6. Horlama ve ağızı açık uyuma diş bozukluğu i̇le alakalı mıdır. çocuklarda diş fırçalama ne zaman başlamalıdır.
Diş minesi kaybı diş hassasiyetlerine çatlak dişlere ve hatta diş tacı kırıklarına neden olabilir. çocuklarda 6 aydan 14 yaşına kadar olan diş çıkarma çok zorlu bir süreçtir. Arka dişlerde tüberkülün aşınması bazen belirgindir. İmplant takılırken olabilecek sorunlar.
Bruksizmin genellikle spesifik bir semptomu yoktur ancak diş yüzeyini etkileyerek diş minesine zarar verebilir. Diş fırçalama hangi yaşlarda başlatılmalıdır. Genetik faktörlerin etkisi olmasına rağmen diş çürüğü esas olarak çevre koşullarından etkilenen kazanılmış bir hastalıktır. çocuklarda diş çürüğünün sebeplerine değinen özge bektaş diş çürüğüne neden olan faktörler çocuklarda hem çürüğün başlamasından hem de çürüğün gelişiminden sorumludur.