çocuklarda Diş Tartarı

Diş ipinden sonra gargara yapmak ta tartar oluşumunu önler ve iyi bir ağzı hijyeni korumuya yardımcı olur.
çocuklarda diş tartarı. Diş fırçanızı soğumuş olan bu suda 10 dakika bekletin. Günde 3 kez devam edin. Sürekli besin biriken yerde tükrükteki kalsiyumun çökmesiyle sarı renkte diştaşları görülür. Diş taşları hakkında sık sorulanlar.
Tartarı kaldırmak için harika bir yol susam çiğnemektedir. Bu sertleşmiş plak tartar veya diş taşı olarak bilinir. çocuklarda gözlemlenen dişlerde renk değişiklikleri farklılıklar gösterebilmektedirler. Ceviz kabuklarını bir bardak suyun içine koyup 20 dk kaynatın.
Tohumlar ağzınızda iken kuru bir diş fırçası kullanarak dişlerinizi fırçalayın. Diş lekelenmeleri çocuk grubunda oldukça sık görülen şikâyettir. Diş ipi kullanmak dişler arasında birikmiş gıda partikülleri plak ve tartarı çıkarmak için en iyi yoldur. Diş üzerinde yapışkan ve saydam olarak görülür.
çocuklarda da diş taşı oluşabilir. Günlük diş bakımı diş taşı oluşumunu. Ocaktan alıp soğumaya bırakın. Ancak tartarı evde gidermek iyi bir fikir değildir.
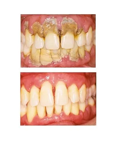
Bu gibi durumlarda da lekelenmeler oluşacaktır. Diş taşı oluşmasının nedenleri nelerdir. Diş tartarı uzun süre temizlenmediğinde kişinin dişlerinde çürüme yaparak dişini kaybetmesine neden olabilmektedir. Tartarın ağız sağlığınız üzerinde olumsuz etkileri olabilir bu nedenle birikmesine izin verilmemelidir.
Diş hekimlerinin uyguladığı yöntemler ile diş sağlığının korunması daha da sağlıklı dişlere sahip olunmasını sağlar. Ancak diş plağı artık diş gibi bir düzeye değil de tartar gibi sert pürüzlü bir yüzeyin üzerine birikmiştir. Ağız içi ve dişlerin tam olarak temizlenmediği durumlarda bakteri oluşumu artacaktır. Aslen bir diş plağıdır.
Diş fırçalamanın ihmal edilmesiyle ağızda biriken gıda artıkları tükürük içerisinde erimiş halde bulunan kireç taşı molekülleri ile birlikte dişlere iyice yapışarak dişlerin önce ara bölgelerini daha sonra diş eti bölgesini kaplayarak dişlerin çürümesine ve diş etlerinin iltihaplanıp kanamasına neden olurlar. Ağız ve diş sağlığı açısından istenmeyen bir durumdur. Plak dişlerde biriken yapışkan bir maddedir. 1 tatlı kaşığı karbonat.
Bu suyla dişlerinizi fırçalayın. Diş taşı dişe yapıştıktan sonra bunun da üzerinde bakteriyel diş plağı oluşacaktır. çocuklarda diş taşı olur mu. Fırçalama ve diş ipi ile temizlenmediği takdirde sertleşir.
Karbonat ve tuzla dişlerdeki tartarı diş plaklarını yok etme tarifi.